警惕身体的“微”信号:双源CT如何捕捉早期病变
2026-01-17 10:15
本文出处:洛阳白马医院
您是否曾有过这样的时刻?工作疲惫时,突如其来的一阵胸闷;爬几层楼梯,便气喘吁吁;又或者偶尔出现头晕、肢体麻木的症状……这些看似不值一提的“小毛病”,我们常常将其归结为“太累了”或是“亚健康”,随意挥挥手便抛诸脑后。

然而,从医学的角度来看,这些身体发出的“微”信号,有时却是重大疾病悄然逼近前的“哨兵”。心脑血管疾病、早期肺癌等健康“杀手”,在初始阶段的症状往往极为隐匿。当症状变得显著时,往往已经错失了最佳的干预时机。那么,是否存在一种方法,能够在我们察觉到明显不适之前,精准地捕捉到这些潜藏的病变,为生命构筑一道坚实的防线呢?
答案是肯定的。今天,我们就来探讨一项能够明察秋毫的影像技术——双源CT,以及它如何助力我们解读身体发出的早期预警。
一、解码“捕手”:什么是双源CT?

想象一下,您想为一位高速旋转的芭蕾舞者拍摄一张清晰的照片。如果只用一台相机,无论快门多快,都可能因为舞者快速的动作而产生模糊。但如果您同时使用两台相机,从不同角度、以闪电般的速度协同拍摄,就能瞬间定格舞者的完美姿态。
双源CT(Dual-Source CT)的工作原理与此类似。它突破了传统单源CT的限制,创新性地搭载了两套独立的X线球管和探测器系统协同工作。这种“双引擎”设计,使其在扫描速度、图像质量和辐射剂量控制上实现了质的飞跃。
洛阳白马医院引进的西门子双源CT,堪称这一领域先进技术的典范。它具备三大核心优势,使其成为早期病变筛查的“利器”:
1、快如闪电的扫描速度:其机架旋转一周最快仅需0.25秒,扫描速度可达每秒73.7厘米。这意味着,对成年人进行全身扫描,最快1秒内即可完成。这种超高速度对于心脏等持续运动的器官成像极为关键,能够有效克服运动伪影,获得如“定格”般清晰的图像。
2、超乎想象的精准度:双源CT拥有更高的时间分辨率,可达66毫秒。这意味着什么呢?即便您心率较快或不齐,无需服用药物控制心率,也能获得高质量的冠状动脉图像。同时,其出色的空间分辨率能够清晰分辨毫米级的微小结构,让早期、微小的病灶无所遁形。
3、备受瞩目的低剂量:很多人谈“CT”色变,担忧辐射问题。双源CT借助大螺距扫描、低管电压技术以及先进的迭代重建算法等多种创新技术,在保证图像质量的同时,大幅降低了辐射剂量。例如,一次心脏冠脉检查的辐射剂量可低于1mSv,甚至低于我们一年接受的天然背景辐射量,真正实现了“绿色”检查。
二、“鹰眼”洞察:双源CT如何解读三大关键领域的“微”信号?

凭借其“快、准、低”的特性,双源CT在心、肺、脑等关键领域的重大疾病早期筛查中扮演着无可替代的角色。
1. 心脏的“悄悄话”——冠心病早期筛查

● “微”信号:劳累后胸闷、心悸、不明原因的牙痛或左肩疼痛。
● 挑战:心脏是一个永不停歇的“泵”,其高速搏动对CT成像构成了巨大挑战。
● 双源CT解决方案:双源CT的更高时间分辨率,如同为跳动的心脏拍摄了一部“超高清慢动作电影”。它无需患者长时间屏息,也无需依赖药物降低心率,即可清晰地显示冠状动脉的管壁、斑块性质及狭窄程度。它不仅能发现已经造成血管狭窄的“罪犯”斑块,更能识别那些尚未引起症状、但随时可能破裂导致心肌梗死的“不稳定斑块”,实现了从“诊病”到“防病”的跨越。
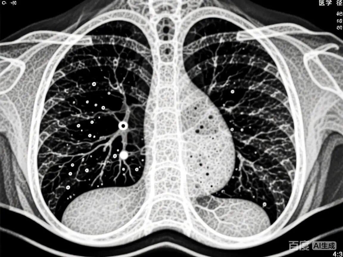
2. 肺部的“阴霾”——肺癌与肺栓塞的精准发现

● “微”信号:长期慢性咳嗽、痰中带血丝、不明原因的消瘦、突发的胸痛和呼吸困难。
● 挑战:早期肺癌常表现为微小的肺结节,不易发现;而急性肺栓塞病情凶险,需要快速、准确的诊断。
● 双源CT解决方案:低剂量螺旋CT(LDCT)是目前公认有效的肺癌筛查工具 。洛阳白马医院的双源CT能以更低的辐射剂量完成高质量的肺部扫描,清晰显示5毫米以下的微小结节,为早期诊断提供可靠依据。对于致命的肺栓塞,其“闪电般”的扫描速度能够迅速完成肺动脉血管成像(CTPA),精准捕捉血管内的血栓。
3. 大脑的“警报”——脑血管疾病的风险预警

● “微”信号:短暂的头晕目眩、一过性的视物模糊或肢体麻木无力。
● 挑战:这些症状可能是“小中风”(短暂性脑缺血发作)的表现,背后可能隐藏着脑血管狭窄、动脉瘤等“定时炸弹”。
● 双源CT解决方案:双源CT能够快速完成头颈部血管的一站式成像(CTA),无创、清晰地展现从主动脉弓到颅内动脉的完整血管树。医生可以借此精确评估是否存在血管狭窄、斑块、动脉瘤或畸形,为脑卒中的一级预防和二级预防提供关键的决策信息。对于急性脑卒中患者,它还能进行脑灌注成像,评估缺血半暗带的范围,指导溶栓或取栓治疗。
三、科技有温度:在洛阳白马医院的安心检查体验

先进的设备,归根结底是为了服务于人。在洛阳白马医院,我们深知,一场安心且舒适的检查体验,与精准的诊断结果同样重要。引进先进的双源 CT 技术,正是我们致力于为洛阳市民提供高品质医疗服务的具体体现。
双源 CT 具备高速扫描流程,能显著缩短检查时间,有效减轻患者在密闭空间内的幽闭感。其开放式设计与低辐射特性,也使老人、儿童以及对辐射较为敏感的人群能够更为安心地接受检查。
从检查前的详尽沟通、告知注意事项,到检查过程中专业技师的精准操作,再到检查结束后影像医生的严谨判读,我们专业的医疗团队将全程为您提供保障,确保您获得的不仅是精准的医疗服务,更有满满的人文关怀。
结语:
身体是我们最宝贵的财富,而健康则是这份财富的基石。请不要忽视身体发出的任何一个“微”信号,因为它们可能是守护健康的关键线索。早期发现、早期诊断、早期干预,是现代医学应对重大疾病最有力的武器。
双源CT技术,就像一位拥有“火眼金睛”的健康哨兵,能够帮助我们洞察身体内部的细微变化,将潜在的风险扼杀在萌芽状态。如果您对自己的健康状况有所担忧,或属于心脑血管疾病、肺癌等疾病的高危人群(如长期吸烟、有家族史等),不妨与您的医生进行一次深入的沟通。
免责声明: 本文内容仅作为健康科普知识分享,不作为具体诊疗建议或诊断依据。每个人的身体状况不同,所适合的检查方式亦不同。文中提到的技术信息仅为辅助说明,不构成对诊疗效果的承诺。是否需要进行相关检查,请务必遵从专业医师的当面指导。

